Page 41 - ESHRE2019
P. 41

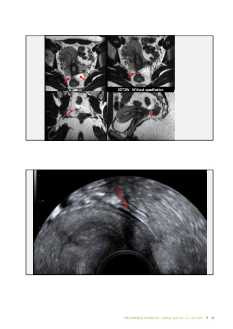
        3DT2W Without opacification
        36
 PRECONGRESS COURSE 03 I VIENNA, AUSTRIA – 23 JUNE 2019 39
   































































































   39   40   41   42   43